INTRODUCTION
The population of patients suffering from end-stage liver diseases, such as hepatocellular carcinoma or acute liver failure, is increasing at an alarming rate in both China and the United States 1,2. Liver transplantation remains the only definitive treatment option for this devastating condition 3. However, the extreme shortage of available organ donors is unable to fulfil the growing demand for transplantation, resulting in many patients dying before ever receiving a life-saving organ 4. In these circumstances, the pig has been proposed as the most suitable xenograft donor, due to its metabolic function similarity with humans, favourable breeding characteristics, and unlimited organ availability 5. Thus, donor livers and hepatocytes derived from pigs have been considered as a potentially effective solution to the shortage of organs.
The first pig-to-nonhuman primate liver transplant was performed in 1968 by Calne et al. In this study, seven wild-type pig liver xenografts were transplanted to nonhuman primates (NHPs), but unfortunately, four recipients died due to uncontrollable haemorrhage within 6-30 hours after surgery. Two recipients died due to liver failure, while the longest surviving recipient died after 3.5 days due to bronchopneumonia and immune-inflammatory cells infiltrating the portal tracts 6. Two years later, Calne et al. attempted to transplant wild-type pig livers into rhesus monkeys and chimpanzees, but none survived for more than 12 hours due to diffuse intravascular coagulation in the liver and other organs. This failure was likely due to biological incompatibility between pigs and NHPs 7. In 1994, Powelson et al. performed orthotopic liver transplants from pigs to cynomolgus monkeys and baboons, with survival periods ranging from 2 to 75 hours; hyperacute rejection (HAR) was observed during these experiments.8 In 1998, Luo Y et al. reported pig liver xenotransplantation survival periods of maximum 5.5 hours in baboon heterotopic xenografts or rhesus monkey orthotopic xenografts, even under immunosuppressive therapy. A typical manifestation of HAR, characterized by congestion and haemorrhage, was also observed in these experiments 9. Over 30 years after the first pig-to-NHP liver transplant in 1968, liver xenotransplants have been attempted in several nonhuman species, but the survival time of NHPs has never exceeded three days.
In the above preclinical trials of wild-type pig-to-NHPs liver xenotransplantation, the failures were attributed to the development of HAR, associated with severe thrombocytopenia and uncontrollable haemorrhage 10. This article aims to provide an overview of the progress made in genetically modified pigs for liver xenotransplantation in NHPs (Tab. I). Specifically, this article will focus on the perspective of gene editing or transformation of donor pigs to distinguish and optimize gene combinations to break through barriers such as acute rejection, thrombocytopenia, thrombotic microangiopathy (TMA), biological incompatibility, and infection in xenogeneic liver transplantation. We look forward to the development of superior gene-edited pigs for the clinical application of liver xenotransplantation in the future.
GENE MODIFICATIONS TO INHIBIT THE ACUTE REJECTION
Acute liver rejection encompasses HAR and acute humoral xenograft rejection (AHXR) 10. HAR, which typically occurs within minutes to hours, represents the first immunological barrier to liver xenotransplantation 11. It is mediated by the binding of pre-existing antibodies from the recipient to xenoantigenic epitopes on the vascular endothelium of pigs. This binding triggers the activation of complement, resulting in endothelial cell lysis, thrombosis, haemorrhagic necrosis, and subsequent xenograft failure 12,13.
In 2000, Ramírez et al. orthotopically transplanted five pig livers into a baboon. Three of them, using unmodified pigs, survived for less than 12 hours due to HAR. In contrast, two liver xenografts from hCD55(h-DAF) transgenic pigs lived for 4 and 8 days, respectively. The two transgenic xeno-livers showed deposits of C4, but not of C5b-9, which prevented HAR because the hCD55 expressed on pig liver grafts can block the formation of C3 convertases 14. Five years later, the same team carried out nine pig-to-baboon liver transplants. The control group (n = 4) of genetically unmodified pigs developed HAR with survival rates of less than 16 hours. The survival time of the experimental group (n = 5) of CD55/CD59/HT (H-transferase) was 13-24 hours with no HAR 15,16. The cases reported by Ramírez et al. showed that genetically modified pig livers expressing human CD55 and CD59 are resistant to HAR and can maintain haemostasis in NHPs. However, the survival time of the recipients has not significantly improved.
During the same period, Galili et al. discovered an antigen called galactose- 1,3-galactose (-Gal), which is expressed by 1,3-galactosyltransferase (1,3GalT or GGTA1) 17. While GGTA1 is expressed in pigs, it is not expressed in humans or Old World monkeys, which presents a major obstacle to xenotransplantation due to HAR in pigs to NHPs 17,18. To overcome this obstacle, GTKO pigs were developed, which lack the GGTA1 gene and do not express the α-Gal epitope 19. Subsequent studies demonstrated that organs from GTKO pigs prolonged the survival of kidney and heart grafts when transplanted into NHPs 20,21. Additionally, Loveland et al. found that transgenic expression of another human complement-regulatory protein, CD46, protected transplanted kidneys in non-immunosuppressed baboons from HAR 22. These findings suggested that similar results could be obtained using pig liver xenotransplantation with GTKO pigs. In 2010, Ekser performed orthotopic liver transplantation in baboons using livers from GTKO (n = 2) or GTKO/hCD46 (n = 8) pigs with a clinically acceptable immunosuppressive regimen. Six of the ten baboons survived for 4-7 days, and 4 recipients survived for less than one day. The recipients had adequate hepatic function and no increase in anti-nonGal IgM or IgG antibody levels or CDC of pig cells, but experienced profound thrombocytopenia and spontaneous haemorrhage at various sites 23. Kim et al. reported 3 cases of orthotopic liver xenotransplantation in baboons using GTKO Massachusetts General Hospital miniature swine (MGHMS), with survival times of 6, 8, and 9 days, respectively. The 6-day survivor died of uncontrolled bleeding. Although the 8- and 9-day survivors could maintain platelet counts between 40–50,000/mm3 with aminocaproic acid (Amicar therapy), they died due to severe coagulopathy and sepsis 24. Subsequent trials by Ji et al. 25, Yeh et al. 26, and Navarro-Alvarez et al. 27 using GTKO pig liver transplants into NHPs reported the longest survival of xenografts as 15 days, with thrombotic microangiopathy being the major cause of death in the recipients. These trials also revealed that the platelet consumption was caused by endothelial damage due to the effects of anti-non-Gal antibodies, resulting in a more vigorous coagulation cascade than in allotransplantation.
Additionally, some researchers have hypothesized that anti-non-Gal antibodies play a critical role in survival and suggested that non-Gal antigens cause AHXR. They propose that the additional and sufficient genetic manipulation of xenoantigens on xenograft donors would improve the outcome of xenotransplantation 28-30. Currently, the known carbohydrate nonGal epitopes are N-glycolylneuraminic acid (Neu5Gc) 31,32 and the blood group Sda/Cad (-1,4-N-acetylgalactosaminyltransferase [4GalNT2]) 33,34. Cytidine monophospho-N-acetylneuraminic acid hydroxylase (CMAH) is synthesized in mammals such as pigs and Old World Monkeys but does not express in humans 35. An in vitro experiment suggested that anti-Neu5Gc antibodies would be induced in human serum against porcine Neu5Gc 31. Butler et al. performed an in vitro perfusion model to measure the human platelet uptake in different gene knockout livers, including WT, ASGR1KO, GGTA1KO, and GGTA1KO/CMAHKO pigs. The results showed that GGTA1KO/CMAHKO pig livers consumed fewer human platelets than GGTA1KO and WT livers. This means that double genetic modifications (GTKO/CMAHKO) would be necessary to reduce the xenogeneic consumption in liver xenotransplantation. This may be an effective combination strategy to reduce thrombocytopenia in pig-to-human hepatic xenotransplantation 36. Another ex-vivo assay was performed to measure the synthetic function of gene-edited pig livers after perfusion with human blood. The GTKO/hCD46/Neu5GcKO pig livers demonstrated higher albumin production compared with livers from GTKO/CD46, suggesting that the Neu5GcKO phenotype reduced human antibody recognition and graft injury, providing a protective effect on the graft 37. Furthermore, several researchers have proposed that Neu5GcKO is necessary for humans but not for monkeys as the recipients 38-40. In the case of the antigen 4GalNT2, inactivation of 4GALNT2 considerably reduced human non-Gal IgM and IgG binding to pig PBMCs 41. Researchers have demonstrated that the triple antigen depletion phenotype GTKO/CMAHKO/SdaKO still showed minimal xenoreactive antibody production after incubation with human serum. Except for the three identified antigens above, another new antigen is the swine leukocyte antigen class I (SLA-I), which would cross-react with human leukocyte antigen (HLA) antibodies. A xenoreactive reaction showed that the combination of four gene depletion of GGTA1, CMAH, B4GALNT2, and SLA-I would be more effective than single or double knockouts on human IgG and IgM binding to pig renal cells 42.
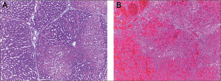
As illustrated, Figure 1 shows several typical histopathological images for acute rejection of multiple-genetically modified pig livers transplanted into NHPs within hours and days. To summarize, accelerated vascular rejection in pig-to-human and pig-to-NHP liver xenotransplantation has been largely overcome in ex vivo perfusion through genetically modified pigs. GGTA1, CMAH, and B4GALNT2 knockout pigs are ideal donors for humans to counteract naturally preformed antibodies, while GTKO/4GalNT2KO pigs are preferred for pig-to-baboon organ transplantation 43. In addition, transgene insertion of human CD55/CD46/CD59 efficiently prevent activation of the recipient complement and coagulation cascade.
GENETIC ENGINEERING FOR SYNTHETIC AND COAGULATION FUNCTIONS
The donor pigs, through the combination of xenoantigen depletion and human complement regulatory proteins (hCRP) insertion via genetic modification, have shown promise in preventing acute rejection in pig-to-NHPs transplantation 44,45. However, coagulation dysfunction, including thrombocytopenia and TMA, can still occur and result in a more aggressive coagulation cascade, leading to the loss of both the xenograft and the NHP recipients 1,46. Therefore, editing the gene corresponding to coagulation dysregulation in the donor pig is essential to promote successful xenotransplantation.
PLATELET SEQUESTRATION/PHAGOCYTOSIS DURING LIVER XENOTRANSPLANTATION
Thrombocytopenia has been identified as the main barrier to successful long-term pig liver xenotransplantation, with evidence suggesting that aberrant platelet sequestration/phagocytosis by pig liver macrophages (Kupffer cells) and liver sinusoidal endothelial cells (LSECs) as well as excessive platelet aggregation in certain recipients might be responsible 47-49.
First, one potential mechanism to address this issue is the use of the porcine signal regulatory protein-alpha (SIRP)/human CD47 pathway to prevent human platelet phagocytosis 50. In the organ-source pig, a normal inhibitory signal is expressed on pig platelets, called pig CD47. Pig macrophages express SIRP, which contains ITIMs that regulate their immunological function by recruiting the tyrosine phosphatase Src homology 2 domain-containing protein tyrosine phosphatase-1 (SHP-1), and recognizes CD47 as a self-marker 51. CD47-SIRPa signalling acts as a “do not eat me” signal. Thus, genetically engineered pigs expressing human CD47 (hCD47) would protect pig liver cells from rejection by phagocytosis of human macrophages 52,53. To this end, Pan et al. produced the BamaMS GTKO/hCD47 pig and demonstrated that the expression of hCD47 reduced phagocytosis by human macrophages, as demonstrated by an in vitro assay 36. Zhang et al. also transplanted the liver grafts from (WZS, Bama) GTKO, GTKO/hCD47 pigs to six Tibetan macaques (heterotopic liver transplants), with the longest recipient survival being 14 days. They found that the coagulation parameters in their model were normal or near-normal, and there were no features of antibody or complement deposition or rejection 54.
Secondly, LSECs have been identified as a major role in clearing particulate matter from the bloodstream, making them a target for investigation in the context of liver xenotransplantation 55. In vitro studies have shown that baboon platelet aggregation is induced by direct contact with porcine aortic endothelial cells, LSECs, and hepatocytes 39. Numerous scavenger receptors, which mediate platelet phagocytosis, have been identified on LSECs 48. In pigs, ASGR1 is expressed on LSECs and may play a role in binding and phagocytosis of human platelets 56. Paris et al. demonstrated that porcine LSECs could recognize and bind to the Galactose b1-4N-acetylglucosamine (Galb1,4-NacGlc) glycoprotein on human platelets via ASGR1 57. In 2015, the same team used TALENs to produce ASGR1-deficient pig livers, which resulted in reduced phagocytosis of human platelets in ex-vivo perfusion studies 58. These findings suggested that ASGR1-mediated platelet phagocytosis represents species-discordant platelet consumption.
COAGULATION REGULATORY PROTEINS
Coagulation dysregulation and graft failure can occur when the graft vascular endothelial cells are in a procoagulant state that is not controlled by the pig’s anticoagulant factors 59. One possible solution is to further enhance the expression of human coagulation regulatory proteins in the donor pigs, such as thrombomodulin (TBM), endothelial protein C receptor (EPCR), tissue factor pathway inhibitor (TFPI), von Willebrand Factor (vWF), and CD39 60.
Thrombomodulin is a crucial cofactor of thrombin-induced protein C activation during the coagulation cascade in xenotransplantation. The activated protein C (aPC) binds to cofactor protein S (PS) to inhibit factors Va and VIIIa, ultimately suppressing the coagulation cascade 58. Therefore, the transgenic expression of hTBM in donor pigs is an important approach to inhibit coagulation. Organs from hTBM transgenic pigs have been shown to activate protein C at a significantly higher rate than those from wild-type pigs 61. In an in vitro assay, genetically modified pig aortic endothelial cells (pAECs) co-incubated with human blood showed a 50% reduction in platelet aggregation compared to wild-type pAECs. Specifically, the platelet aggregation on GTKO/CD46/TBM pig-derived pAEC was reduced to 27%, indicating that TBM expression on pAECs could help to prevent further platelet aggregation 62. Moreover, pigs genetically edited to express human hTBM in their aortic endothelial cells were reported to substantially suppress prothrombinase activity, delay human plasma clotting time, and exhibit less activity in inducing human platelet aggregation 62,63. In a pig-to-baboon heterotopic heart transplantation model, GTKO/hCD46/hTBM pigs as donors treated with immunosuppression, including anti-CD40 mAb, had the longest survival time of 945 days, with no subjects experiencing consumptive coagulopathy or thrombocytopenia. These results suggest that hTBM expression on donor xenografts confer an independent protective effect for prolonging graft survival 64,65. Further optimization of hTBM expression in porcine livers is necessary to evaluate the true benefit of this genetic modification concerning liver xenotransplantation.
Endothelial protein C receptor is an important cofactor in the coagulation process, as it binds to protein C and enhances its activation, leading to inhibition of the coagulation system and suppression of the inflammatory response 66. Therefore, overexpression of human EPCR in donor pigs could help ameliorate coagulation problems and provide conditions for anticoagulant, anti-inflammatory, and cytoprotective cell signalling 67. In vitro assays co-incubating pAEC with the human blood system showed that the expression of human EPCR in addition to GTKO/hCD46 decreased platelet aggregation when compared to GTKO/hCD46 pigs, demonstrating that hEPCR expression reduces human platelet aggregation. In fact, EPCR and TBM showed a similar ability to reduce platelet aggregation. Thus, the combination of transgenic expression of hEPCR and hTBM in pigs is expected to enhance anti-aggregation 62. Recent first gene-edited porcine to human heart xenotransplantation strongly suggests that the transgene expression of hCRPs (CD55/CD46) and coagulation regulatory proteins (hTBM/ hEPCR) in the donor pig would be helpful in prolonging xenograft survival 68.
Activation of tissue factor (TF) plays a crucial role in coagulation disorders after liver xenotransplantation. TF is constitutively expressed in subendothelial fibroblasts, muscle cells, and vascular endothelial cells. When the endothelium is damaged, TF is exposed to the bloodstream, binds, and subsequently activates Factor VII, initiating the extrinsic pathway of the coagulation cascade 69. TFPI inhibits the activation of Factor Xa and forms TFPI/Xa, which binds to the TF/VIIa complex and inhibits its activity 2. Jie et al. showed that human TFPI-transfected pig BMSCs could bind human Factor Xa with high efficiency and inhibit TF/FVIIa both in vitro and in a rodent model 70. The expression of hTFPI and hCD47 in GTKO/CD46 porcine lung has been shown to prevent platelet activation and neutrophil adhesion during porcine lung perfusion with human blood 71. Additionally, Ji et al. performed three pig-to-NHP heterotopic liver xenotransplantations and found that recipient TF is activated earlier than donor TF after liver transplantation, human TFPI-transfected pig bone marrow mesenchymal cells (BMSCs) showed more effectiveness to inhibit the clotting than Pig TFPI in vitro and in a rodent model 25. Furthermore, porcine TF knockdown significantly reduced thrombus formation, and the clotting time increased significantly when compared with wild-type pigs 72. Therefore, the donor pig transfected with human TFPI may significantly contribute to reducing platelet aggregation in pig-to-human liver xenotransplantation.
Another coagulation factor, vWF, binds to glycoprotein 1b (GPIb) to activate platelets, which then bind to fibrinogen, leading to platelet aggregation and adherence to the endothelium 73. Studies have shown that pigs expressing human vWF in their liver displayed reduced platelet sequestration when perfused with human blood ex-vivo. This suggests that a transgenic donor pig expressing human vWF could prevent thrombocytopenia and platelet activation in pig-to-NHP xenotransplantation 74. Additionally, vWF-deficient pigs have been shown to prolong lung graft survival in NHP, as the deficiency in donor pigs leads to a decrease in platelet consumption. This effect also applies to xenograft liver transplantation 75,76. Another factor that can prevent coagulation problems is human CD39, which mediates breakdown of ATP and ADP to AMP. AMP is then further degraded by CD73 to exert an antithrombotic effect 77. Trials in mouse and large animal models have shown that transgenic expression of human CD39 can decrease platelet aggregation and prevent thromboembolism 78-80.
Editing the genes of various human regulatory coagulation/complement pathway factors should resolve coagulation problems in liver xenotransplantation. However, it may not be wise to modify all of the genes mentioned above in one pig. Studies by Cimeno et al. have shown that gene-edited pigs with combined expression of TFPI, EPCR, and CD47 showed reduced porcine albumin release, suggesting interference with normal cellular functionality 37. Therefore, for the prevention of thrombocytopenia, hCD47 knock-in and ASGR1KO are beneficial in decreasing platelet phagocytosis. Among human proteins inhibiting non-physiologic activation of clotting mechanisms, TBM and EPCR have shown superiority in reducing coagulation.
GENES RELATED TO IMMUNE RESPONSES
Apart from macrophages, innate immune cells (NK/Neutrophils) and antibody mediated rejection, T-cell-mediated immune responses also play an important role in xenograft rejection. To mitigate T cell mediated rejection (TCMR), the target genes for pig modification could include human cytotoxic T lymphocyte-associated antigen-4-Ig (hCTLA4-Ig), human dominant-negative mutant class II transactivator (CIITA-DN), and HLA-E/human -2-microglobulin 61. Cytotoxic T-lymphocyte-associated antigen (CTLA4) is a costimulatory molecule that inhibits T-cell activity by blocking the B7-CD28 costimulatory pathway. Previous data have suggested that human CTLA4-immunoglobulin can prolong graft survival in allotransplantation for NHPs 81. Therefore, a transgenic pig expressing hCTLA4-Ig may be a potential method to prevent T-cell activity. An in vitro xenogenic proliferation assay showed that hCTLA4-Ig secreted from transgenic pig neurons suppressed human T lymphocyte proliferation by 50% 82. Additionally, T-cell responses introduced during xenotransplantation can be controlled by manipulating the swine leukocyte antigen (SLA) class I and class II on pigs 83,84. SLA class II molecules on porcine cells act as activators for human CD4+T cells during immune responses to porcine xenotransplants. This response can be prevented by introducing a CIITA-DN gene into the donor pigs. Compared to wild-type pAECs, CIITA-DN-expressing pAECs significantly suppressed the human CD4+ T-cell response by 40-50% and completely inhibited the activation of pAECs. Organs or cells from donor pigs expressing CIITA-DN could prevent an immune response in pig-to human or NHPs xenotransplantation 83. Deletion of SLA class I on pig cells will also reduce pig antigen presentation and prevent immunity. It has been reported that SLA class I knockout pigs show reduced levels of CD8+ T cells in peripheral blood 85. SLA-I knockout in three well-known antigen-depletion pigs resulted in a decreased level of human IgG and IgM in xenoreactive reactions 86.
Inflammation response is also responsible for graft failure in xenotransplantation. Human heme oxygenase-1 (HO-1) and human A20 transgenic pigs have been generated to inhibit inflammation and apoptosis 87,88. Ex-vivo perfusion of multiple gene-edited pig livers expressing HO-1 with whole human blood, showed delayed platelet sequestration and significantly prolonged functionality of reperfused xeno-livers 89. Co-expression of HO-1 and hA20 in multiple genetically modified pigs reduced NF-kB activation, apoptosis and inflammation 90. Therefore, expressing one or several human anti-inflammatory or antiapoptotic genes in donor pigs could be an approach to prevent xenotransplantation failure.
The protective function of the above genes in preventing xenograft rejection requires further evaluation in pig-to-NHP xenotransplantation. Depletion of xenoantigens and expression of hCRPs have been demonstrated to reduce T-cell response to pig antigens 91. Additionally, Shah et al. successfully transplanted a liver from a GTKO pig into a baboon, with one recipient achieving the longest survival time of 29 days in all of the pig-to-NHP liver trials conducted so far, without experiencing rejection, inflammation, or thrombotic microangiopathy. This exciting result was achieved through administration of anti-CD40 monoclonal antibody (mAb) and exogenous human coagulation factors 92,93. Therefore, in addition to genetic modification of donor pigs, immunosuppressants such as anti-CD154 mAb or anti-CD40 mAb to block the CD40-CD40L costimulatory pathway, also play a crucial role in inhibiting inflammation and immune responses to prolong xenoorgan graft survival in liver xenotransplantation.
HUMANIZED LIVER CHIMERA IN IMMUNE DEFICIENT PIGS
To a certain extent, the use of genetically modified pigs in combination with immunosuppressants has been successful in mitigating issues such as rejection, thrombocytopenia, and TMA in liver xenotransplantation 92. However, the most significant obstacle remains the short lifespan of xeno-liver grafts. This problem can be attributed to biological incompatibility between pigs and NHPs/humans due to the specificity of liver metabolism and synthesis 49. To overcome this barrier, the use of humanized liver chimeras created through gene manipulation in SCID pigs is a promising alternative method 86.
The generation of a humanized chimeric liver involves engrafting human hepatocytes into an immunodeficient pig model 44. The RAG1 and RAG2 genes encode enzymes that catalyse T cell receptor (TCR) genes of T cells and the V(D)J recombination of immunoglobulin (Ig) of B lymphocyte precursors, producing diverse primary immune repertoires for T and B cells 94. RAG1 or RAG2 mutations in humans would result in a complete absence of both T and B cells 95. Similarly, deletion of RAG1/2 in rodent models and midsize animals such as rabbits would render them immunodeficient and characterized by the absence of mature T and B cells 96-98. This immunodeficient model could be useful for studying cell transplantation, such as the reconstitution of human haematopoietic and immune systems through human hepatocyte transplantation. However, its limitations in size and short lifetime make it less ideal than the pig model, which shares anatomical/physiological characteristics and organ size with humans and is considered as an important animal model for human organ transplantation 99.
Huang et al. used the transcription activator-like effector nucleases method to generate RAG1 and RAG2 knockout pigs and demonstrated that piglets with either RAG1 or RAG2 mutations would consequently lack mature T and B cells 100. Additionally, mutations in the IL2RG gene, which encodes for the interleukin-2 receptor common gamma chain (γC, CD132), leading to impaired NK cell function, result in the phenotype of T-B+NK- (X-linked severe combined immunodeficiency) 101. Thus, RAG1-/- or RAG2-/- pigs that have also been knocked out for IL2RG (RAG1-/-IL2RG-/-) would lack T cells, B cells, and NK cells, as verified in a mouse model 102. Furthermore, knockout of fumaryl acetoacetate hydrolase (FAH) in animals causes liver injury due to the toxic accumulation of fumarylacetoacetate in hepatocytes, as demonstrated in mouse and rat models 103,104. To gradually block the appropriate expansion of hepatocytes, a FAH-/- model can be treated with nitisinone (NTBC), which blocks tyrosine catabolism upstream of FAH. After the death of hepatocytes in FAH-/- recipients, the hepatic niche can be repopulated through the adoptive transfer of human hepatocytes 105. Therefore, to achieve liver xenogeneic chimeras, the depletion of FAH is also necessary on the basis of RAG1-/-IL2RG-/- in the pig model, resulting in RAG2-/-IL2Rg-/-FAH-/- pigs. Heng et al. generated RAG2-/-IL2Rg-/-FAH-/- pigs using the CRISPR/Cas9 system and demonstrated that these pigs have the potential to be engrafted with a large number of human hepatocytes without immune rejection 86.
In summary, RAG2-/-IL2Rg-/-FAH-/- pigs are potential recipients for human hepatocyte transplantation to generate liver xenogeneic chimeras, which may extend the survival time of xenogeneic liver in pig-to-NHP transplantation.
However, there are still several challenges to overcome, including: 1) Increasing low proportion of chimeric cells; 2) Technical difficulties associated with gene editing, cloning, and embryo-directed stem cell injection; 3) Determining the optimal dose of NTBC for FAH knockout pig treatment; 4) The lack of designated pathogen free (DPF) animal facilities, which are essential for housing severely immunodeficient piglets; 5) Further research is needed on the artificial feeding scheme for cesarean-sectioned piglets. Despite these challenges, we believe that humanized liver chimera from genetically engineered pigs will be successfully bred as technologies continue to develop. Combined with the use of supportive therapies after transplantation, chimeric pig organs may one day replace human grafts.
FINDING THE BALANCE IN GENE MODIFICATION
The development of new gene-editing technologies has enabled the production of multiple genetically engineered pigs, which have been tested in pig-to-NHP liver xenotransplantation 45. Dou et al. transplanted a liver from a pig modified with 13 genes (PERV-KO/3-KO/9-TG:PERV-KO/GalT-KO/GalT-KO/4GaNT2-KO/CMAH-KO/hCD46/hCD55/hCD59/h2M/hHLA-E/hCD47/hTHBD/hTFPI/hCD39) heterotopically to a rhesus monkey, and the recipient survived for 26 days 10. However, interstitial haemorrhage, TMA, and inflammation injuries were still observed in the recipient. indicating that the optimal combination of genes needs further study.
Based on current data obtained with genetically modified pigs in NHP models, certain genes still need to be targeted for modification in future pig models. First, α-Gal, Neu5Gc, and Sda antigen knockout are necessary to inhibit acute rejection in humans. Second, knock-in of the CD47, TBM, and EPCR genes is essential to prevent thrombocytopenia. Third, hCRPs can be selected for transgene insertion to avoid complement and coagulation cascades activation. Administration of human coagulation factors and co-stimulatory blockers is crucial for prolonging the survival of the liver xenografts. However, the establishment of DPF facilities has enabled the successful disruption of RAG2, IL2Rg, and FAH genes in pigs and their elevation in germ free environments. These pigs have severely defective immune systems and progressive liver damage, making them ideal for engraftment with human hepatocytes to produce humanized liver xenogeneic chimeras. Such chimeric livers are expected to improve biological compatibility between pig and human, prolonging the survival time of the xenogeneic liver.
CONCLUSIONS
Major challenges remain before possible clinical application of xenogeneic liver transplantation, as indicated by the current short survival of gene-edited pig livers transplanted to NHPs. Therefore, additional gene combinations in donor pigs may be necessary and humanized xenogeneic chimeras may be generated based on the immune deficient gene-edited pig. These approaches provided optimal gene-edited pigs with promising potential as a bridge to allotransplantation for patients with end-stage liver diseases or acute liver failure, thereby collectively addressing the issue of human organ shortage.
Conflict of interest statement
The authors declare no conflict of interest.
Funding
This work was funded by the Program for Sichuan Science & Technology from Sichuan Provincial Science and Technology Department 2022YFS0583.
Author contributions
GH: Writing-Original Draft, References collection; JD: Investigation, Data Curation; ZZ: Writing-Reviewing and Editing, Validation; CG-G: Writing-Reviewing and Editing; XZ: Visualization, Formal analysis; KD: Writing-Reviewing and Editing; SD: Writing-Reviewing and Editing; DP: Editing, Funding acquisition; LB: Writing-Reviewing and Editing, Supervision.
Ethical consideration
Not applicable.
Figures and tables
Figure 1. Histopathology (H&E) of acute rejection in multiple-genetically modified pig liver grafts of pig-to-rhesus monkey heterotopic auxiliary liver xenotransplantation. A) GTKO/CMAHKO/4GALNT2KO/hCD55/hCD46/hTBM pig-to-rhesus monkey liver xenotransplantation at 5 hours (X100). Severe focal hepatocyte necrosis, hepatic parenchymal hemorrhage, thrombotic microangiopathy, some lymphocyte infiltration; B) GTKO/CD46/CD47 pig-to-rhesus monkey liver xenotransplantation on POD 3 (X100). Extensive hemorrhage, acute hemorrhagic coagulative necrosis.
| Year | Author | Donor | Recipient | TX type | Survival | N | Cause of death | Immunosuppression | Ref |
|---|---|---|---|---|---|---|---|---|---|
| 2000 | Ramirez | CD55; WT | Baboon | OLT | 2-8hr(WT) 4d,8d | 5 | No deposits of C3 or C5b-9,no HAR(hCD55) endothelial deposits of IgG, IgM, C3, C4, and C5b-9(WT) | CyA+CyP+MPS+ Splenectomy | 14 |
| 2005 | Ramirez | CD55/CD59/HT; WT | Baboon | OLT | 13-24hr; < 16hr | 9 | Thrombosis, IVC, ARF, APF, no HAR (CD55/CD59/HT) Multiorgan failure, DIC,HAR(WT) | CyP+Dacluzimab+Cs+ Rituximab+CsA+MMF | 15 |
| 2010 | Ekser | GTKO/CD46; GTKO; WT | Baboon | OLT | < 1d(n = 4); 4,5,6,6,7d | 10 | Size-mismatch in donor liver and recipient abdomen; Profound thrombocytopenia liver toxic (clodronate) | ATG+Tac+MMF+Cs | 23 |
| 2012 | Kim | MGH MS GTKO | Baboon | OLT | 6,8,9d | 3 | Uncontrolled bleeding; enterococcal infection; no rejection | ATG+CVF+anti-CD154mAb+AZA+LoCD2b+ Tac+Cs | 24 |
| 2014 | Yeh | MGH MS GTKO | Baboon | HLT | 6,9,15d | 3 | Thrombotic microangiopathy, sepsis | ATG+Cs+Tac+CVF | 26 |
| 2015 | Ji | WZS MS GTKO | Tibetan macaques | HLT | 2,5,14d | 3 | Pulmonary edema/infection | ATG+CVF+Tac+MMF+anti- CD154 mAb | 25 |
| 2016 | Navarro | MGH MS GTKO | Baboon | OLT | 1,3,4,4,6, 7d | 6 | Thrombotic microangiopathy, inflammation | ATG+CVF+Tac+Cs | 27 |
| 2016 | Shah | MGH MS GTKO | Baboon | OLT | 25d | 1 | Focal hepatic necrosis, mild congestion | ATG+CVF+ Belatacept+Tac +Cs | 92 |
| 2017 | Shah | MGH MS GTKO | Baboon | OLT | 5,8,25,29d | 4 | Portal vein thrombosis, minimal inflammation, thrombotic microangiopathy | ATG+CVF+Tac+Cs+ aCD40mAb | 93 |
| 2017 | Zhang | WZS, Bama GTKO GTKO/hCD47 | Tibetan macaques | HLT | 3,5,6,11,12,14d | 6 | Pulmonary hemorrhage/edema/infection; Renal failure; Cytokines elevation bring out liver xenogfart damage | ATG+CVF+FK+MMF+ Medrol | 54 |
| 2020 | Cross-Najafi et al. reported the results from Dou’s team | PERV-KO/3-KO/9-TG | Rhesus monkey | HLT | 26d | 1 | Patchy necrosis, interstitial hemorrhage, thrombotic microangiopathy, inflammatory damage | ATG+CVF+TAC+aCD40mb+ aCD20mb +MPS | 10 |
| OLT: orthotopic liver xenotransplantation; HLT: heterotopic liver transplantation; CyP: cyclophosphamide; CyA: cyclosporine A; HT: H-transferase; DIC: disseminated intravascular coagulation; IVC: inferior vena cava; ARF: acute renal failure; APF: acute pulmonary failure; MMF: mycophenolate mofetil; Cs: corticosteroids; CsA: cyclosporine; MGH MS: Massachusetts General Hospital miniature swine; WZMS: Wu Zhishan miniature swine; LoCd2b: rat anti-primate CD2 IgG2b; MPS: methylprednisolone; Tac: tacrolimus; PERV-KO/3-KO/9-TG: PERV-KO/GalT-KO/GalT-KO/4GaNT2-KO/CMAH-KO/hCD46/hCD55/hCD59/h2M/hHLA-E/hCD47/hTHBD/hTFPI/hCD39 | |||||||||
